Your general dentist always aims to provide you with the right dental solution. Tooth damage can happen from an accident or injury. It can also happen from slow tooth decay. Sometimes, other teeth restorations do not fit your needs. If you want to know when your general dentist may recommend a dental bonding treatment, here are the details.
The definition
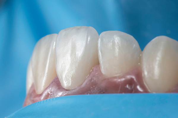
Dental bonding is a quick dental procedure. It can enhance the appearance of stained, chipped, misshapen, and cracked teeth. Dental bonding can also help with other procedures in dentistry. The general dentist applies composite resin on teeth, making them look natural and intact.
This type of restoration has the material like that of dental fillings. The finish is not as durable as crowns or dental veneers. Dental bonding is also for fixing any damage on front teeth for cosmetic purposes. The treatment’s primary goal is to improve the appearance.
Tooth decay
Cavities are commonplace. Infants, children, teens, and even adults can have them. Cavities are the result of tooth decay. These start as tiny holes. The tiny holes in teeth can grow and reach the deeper layers of teeth. A general dentist can suggest dental bonding if the tooth damage is still small and repairable. Dental bonding can stop the progress of decay.
Exposed tooth root
A person with an exposed root may experience tooth sensitivity and sharp pain. This happens while eating or brushing teeth. The dental roots lose the protection of gum tissue. Exposure of the dental roots results from gum damage or gum recession. Dental bonding can help add a layer of protection to the exposed tooth roots. This will reduce or even block the sharp pain. It can also make teeth look whiter and brighter.
Dental staining
Dark stains on teeth are not good to look at. Many factors lead to heavy dental staining. Accidents, medication, aging, and diet can all lead to tooth discoloration. The attending general dentist can provide a quick treatment with dental bonding. The composite resin layer can cover any staining on the surface of teeth.
Craze lines and cracks
Craze lines are thin lines across teeth. Decades of chewing lead to craze lines. These lines may look translucent, brown, gray, or yellow. Multiple craze lines can cause deeper staining. These lines are more noticeable in people who always drink colored beverages and smoke. The general dentist can repair craze lines and restore the teeth with dental bonding.
Misshapen teeth
Many people hide their smiles because of misshapen teeth. A general dentist can reshape the patient’s teeth and make them appear proportional to the gums. Dental bonding can make this possible. Sometimes, it needs to combine with another treatment like orthodontics to provide good dental spacing first before reshaping.
A general dentist can help enhance your dental protection and appearance with dental bonding
Teeth can have damage through years of use. Your general dentist can detect these issues and correct them right away with dental bonding. Immediate detection and treatment can maximize the effects of dental bonding. Routine appointments with your general dentist can help pinpoint the issues and see if dental bonding is the right dental restoration for you.
Request an appointment or call Marietta Dental Bar at 770-422-7727 for an appointment in our Marietta office.
Related Posts
A general dentist can help you understand more about various aspects of dental care. Knowing more about toothpaste, oral health, and fluoride can help you improve your dental care practices. Asking your general dentist about these three elements of oral care is a good way to gather information. Here are some FAQs and the answers…
Your general dentist understands the value of your teeth and their appearance. Over time, your teeth may change color, shape, or stability. Proper treatments can help you regain the optimal look of your teeth. If you want to find out how your general dentist can help, here are the details.These two treatments can correct the…
Your general dentist may have informed you that you need a dental filling. If you have never gotten a filling before, or if it has been a long time, you might have questions about how the process works. Your dentist may also have several dental filling options available for you to choose from. Getting a…